إجراء أول حالة «تيفار» بمركز جراحة الأوعية الدموية بجامعة المنصورة
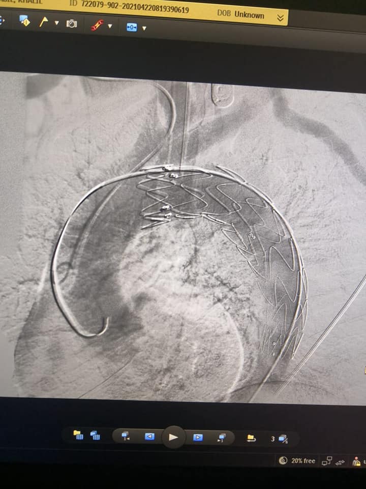
قام فريق من جراحي الأوعية الدموية برئاسة الدكتور مسعد سليمان مدير مركز جراحة الأوعية الدموية، وبحضور ممثلين لجراحي القلب وفريق العناية، بإجراء قسطرة تداخلية لتصحيح انشطار بشريان الأورطي الصدري نتيجة الارتفاع المزمن بضغط المريض، وأدى الانشطار إلى تمدد بشريان الأورطي منذرا بحدوث انفجار علاوة على توقف الدورة الدموية عن بعض الأعضاء الحيوية.
وتجدر الاشارة أن هذا النوع من التدخلات يشمل عدد كبير من مرضى الضغط المرتفع كانوا لايجدون سبيلا لحلول جذرية لمنع حدوث مضاعفات على المرضي مثل انفجار التمدد أو امتداده إلى شرايين الكلى أو الأمعاء أو الأطراف ويمثل هذا النوع من التقنية تطور نوعي في الخدمة المقدمة بمركز جراحة الأوعية الدموية.
و تم توفير كافة مستلزمات الجراحة بواسطة إدراة العلاج ضمن قوائم الانتظار وتم إجراء التدخل بواسطة تقنية الدعامات المغطاة والتي تضمن إعادة سريان الدم في الشريان الأورطي الرئيسي واستغرقت ٤٥ دقيقة مع توفير كافة الاستعدادات من فريق جراحة القلب وكذلك من فريق التخدير برئاسة الدكتورة دعاء جلال وفريق العناية المركزة برئاسة الدكتورة محمد عادل وأظهرت فحوصات المريض فور انتهاء الايفار بنجاح التدخل بنسبة ١٠٠٪.




